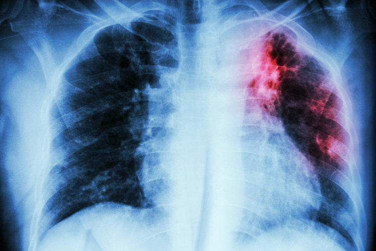
Кургак учук — кургак учуктун микобактериясы же Кох таякчасы та- рабынан пайда болуучу инфекциялык оору. Суйлешкенде, жетел- гөндө, чучкургенде аба аркылуу, ошондой эле байланыш-тиричи- лик жолу аркылуу кургак учукка каршы дары каражаттарын ичпеген адамдан жугат. Балдар учун кургак учук менингит жана диссемина цияланган туру сыяктуу, анын ете оор формаларынын тез арада еерчуп кетиши менен коркунучтуу. Кургак учук менингитинде жана инфекциянын диссеминацияланган формасында интенсивдуу тера пия жок болгон учурда ооруп калган бейтаптардын дээрлик барды гы кез жумушат.
Кантип сактануу керек?
Вакцина бардык дени сак ымыркайларга төрөт үйүндө жаткан учурда жүргүзүлөт. Толугураак «Вакцинанын түрлөрү» бөлүмүндө.
Вакцина бардык дени сак ымыркайларга төрөт үйүндө жаткан учурда жүргүзүлөт. Толугураак «Вакцинанын түрлөрү» бөлүмүндө.